PRAXISGEMEINSCHAFT
Prof. DDr. Christof Pertl
Dr. Norbert Schatz

KONTAKT
 + 43 316 38 26 84 
 praxis@zahnmedizingraz.at

  8010 Graz, Brandhofgasse 24/1
ÖFFNUNGSZEITEN
Mo : 8:00 - 20:00 Uhr
Di : 8:00 - 18:00 Uhr
Mi : 8:00 - 19:00 Uhr
Do : 8:00 - 18:00 Uhr
Fr : 8:00 - 13:00 Uhr

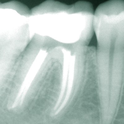
Endodontie (Wurzelbehandlungen)

Die Erhaltung der natürlichen Zähne ist oberstes Gebot.

Professionell durchgeführte exakte Wurzelbehandlungen ermöglichen die Rettung eigener Zähne bei Entzündung oder nach Absterben des Gefäß-Nervengewebes (Pulpa) im Inneren des Zahnes in den meisten Fällen.Keine Angst, die Behandlung ist praktisch immer schmerzfrei. Wir verwenden sowohl für die Wurzelbehandlung als auch für Wurzelspitzenresektionen (Operation an der Wurzelspitze) modernste Techniken und neueste technische Hilfsmittel wie z.B. ein Operationsmikroskop oder ein Piezo-Ultraschallgerät. Somit können wir auch schwierige Fälle, wie Entfernen von Stiftaufbauten oder frakturierten Instrumenten, Wurzelkanalrevisionen oder komplizierte endodontisch-chirurgische Fälle lösen. 

Diese Website benutzt Cookies